Znajdź lekarza
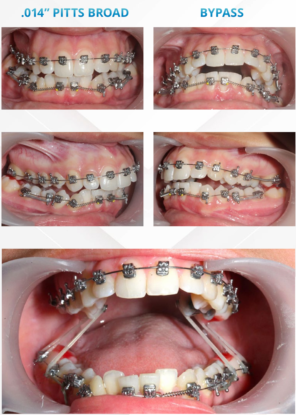
System Pits21PRO
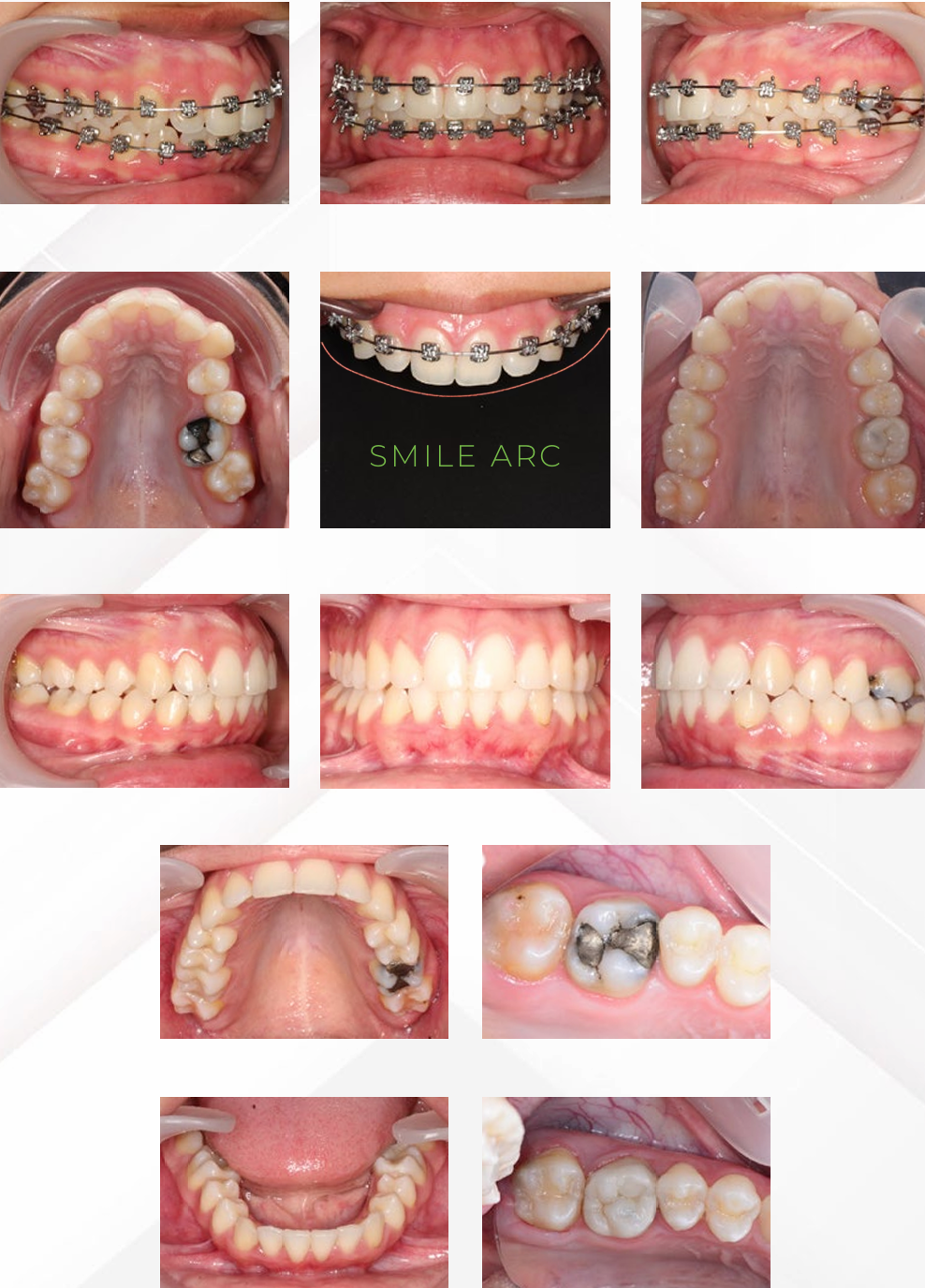
Rezultaty
Higiena
Blog
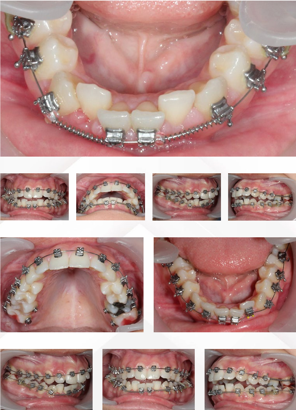
Pacjent 5, Dr Pitts Protocol